• KultureGeek
  • Comparateur de prix
       
iPhoneAddict
 iAddictv5Notre Application iPhone/iPad
  • Accueil Apps
  • Actualité Apple
  • Keynote Apple
  • Firmwares & iTunes
  • Contactez-nous
Accueil » Liste des Apps » Apps iPad » Medecine » Radiology 2.0: Head CTs
1.2.0 iOS €Gratuit Daniel Cornfeld 0 0 With its 2010 release, "Radiology 2.0: One Night in the ED," became the first radiology teaching file to simulate reading scans at a PACS workstation. The fourth installment has now arrived. Volume 4. Head CTs: The purpose of this tutorial is to...
Radiology 2.0: Head CTs

Radiology 2.0: Head CTs

iPad / Medecine

Gratuit
Obtenir sur l'App Store

With its 2010 release, "Radiology 2.0: One Night in the ED," became the first radiology teaching file to simulate reading scans at a PACS workstation. The fourth installment has now arrived.

Volume 4. Head CTs:

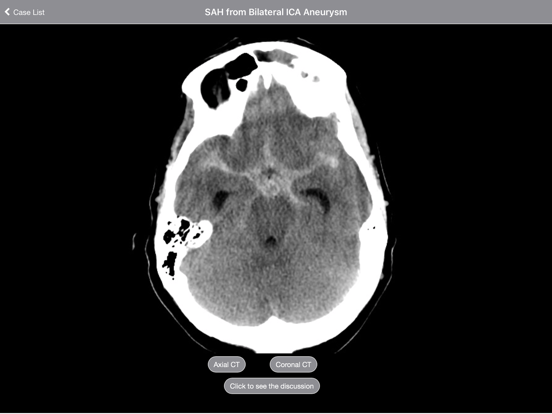
The purpose of this tutorial is to introduce you to the most common basic pathologies seen on a head CT scan: stroke, mass, and bleed. After viewing these 63 cases you will have seen multiple examples of each entity and should be familiar with the varied appearance of each.

Each case is presented as a complete CT scan that you can scroll through as if at a PACS workstation. Each exam is discussed in an interactive format. Important findings are highlighted with arrows, circles, and colorful schematics. Multiple examples of each type of pathology are presented so you can learn by repetition. Varied appearances of similar diagnoses are included. The first case in each section has a comprehensive description of the featured disorder. Subsequent cases utilize shorter descriptions and focus on the pertinent findings.

Entire cases are presented as scrollable stacks. Extensive, interactive discussions accompany each case and include labeled images that highlight pathologies and relevant findings. Rather than use static images to teach specific diagnoses, Radiology 2.0 uses stacks of images to actually teach the reader how to approach and interpret scans.

The interface incorporates image zoom and pan. In addition, both portrait and landscape orientations are supported.

This intuitive teaching file series is designed for both junior radiology residents and senior medical students. All content is contained within the app for offline viewing. You can now learn radiology on-the-go and in the palm of your hand, even with a few minutes of spare time throughout the day. It is completely free and provided as a resource for medical education. No in app purchases. No subscription fees.



Additional:

- Dr. Daniel Cornfeld is a consultant radiologist at Hauora Tairawhiti in Gisborne, New Zealand. Prior to that he was an Associate Professor of Diagnostic Radiology at Yale University School of Medicine. The narratives contain his opinions (based on the medical literature) and reflect the way he would teach if you were one of his students. The information in this app does NOT constitute medical advice and is meant to compliment and augment, not replace, pre- or co-existing medical education. Neither Hauora Tairawhiti nor Yale University School of Medicine have officially endorsed this content.

En voir plus...

Quoi de neuf dans la dernière version ?

Fixed error with the display name.

  • Screenshot #4 pour Radiology 2.0: Head CTs
  • Screenshot #5 pour Radiology 2.0: Head CTs
  • Screenshot #6 pour Radiology 2.0: Head CTs

D'autres applications du développeur

One Night in the ED
One Night in the ED
/ iPad
Pregnant Appendicitis
Pregnant Appendicitis
/ iPad
Cases from the World's End
Cases from the World's End
/ iPad

Note

(0 note)

Détails sur l'application

Version
1.2.0
Taille
557.2 Mo
Version minimum d'iOS
10.0
Dernière mise à jour
16/04/2020
Publié par
Daniel Cornfeld

Newsletter App Store

Recevez chaque jour les meilleures promos

Actualité Apple

Image Le nouveau cadran Pride pour Apple Watch se dévoile en avance
Le nouveau cadran Pride pour Apple Watch se dévoile en avance
Image L’iPhone des 20 ans aurait un écran OLED incurvé sur mesure
L’iPhone des 20 ans aurait un écran OLED incurvé sur mesure
Image Pour le patron de Perplexity, l’iPhone va devenir encore plus central à l’ère du « tout IA »
Pour le patron de Perplexity, l’iPhone va devenir encore plus central à l’ère du « tout IA »
Image Control: Ultimate Edition débarque sur iPhone et iPad : le classique de Remedy trouve enfin sa place sur mobile (sortie App Store)
Control: Ultimate Edition débarque sur iPhone et iPad : le classique de Remedy trouve enfin sa place sur mobile (sortie App Store)
Partenaires : Actualité iPhone - Culture Geek
©2009-2026 i2CMedia | A propos |