
Thomale Guide Application
iOS Universel / Medecine
The Thomale Guide App is a medical device. Exclusively in combination with the Thomale Guide it is intended for the controlled neurosurgical placement of a ventricular catheter.
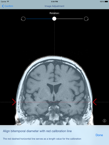
The Thomale Guide is a neurosurgical instrument and can be used as a navigation aid for the implantation of ventricular catheters via a frontal pre-coronary borehole for the treatment of hydrocephalus. With the aid of a coronal CT or MRT Scan this App can calculate the best entrance angle, the ventricular catheter length and the distance between borehole and median line.
The Christoph Miethke GmbH & Co. KG develops, produces and sells neurosurgical implants for the treatment of hydrocephalus.
Do you have any wishes concerning the further development of this App? Contact us: support@miethke.com
Quoi de neuf dans la dernière version ?
This app has been updated by Apple to display the Apple Watch app icon.
+ New Design and better descriptions
+ Supports 8.4 (not longer iOS 6 or iOS 7)
+ Both length-measurements and calibration diameter are saved in one archive-picture
+ 40 % less storage size
+ Better readability of the manuals
+ Set the guide angle in steps of 0.5° (before 0.1°)